فتح تحقيقات أمنية في إبرام صفقات مشبوهة لطلاء العمارات باشرت فصيلة الأبحاث التابعة لجهاز الدرك الوطني بولاية ورڤلة تحقيقا معمقا في صفقة مشبوهة، تخص طلاء عمارات … 08 فيفري
بن عيسى لـ"النهار": "المراعي ملزمة بالاستثمار ليس في الحليب فقط" قال، رشيد بن عيسى، وزير الفلاحة والتنمية الريفية، إنه لن يقبل باستثمار شركة "المراعي" السعودية المختصة في إنتاج … 08 فيفري
الحكومة تقرر إنشاء مدارس تحضيرية متخصصة في التكنولوجيا، الطبيعة والاقتصاد قررت الحكومة إنشاء مدارس تحضيرية لعدد من التخصصات إلى جانب إنشاء مدرسة وطنية عليا للتكنوجيا، حيث وبموجب … 08 فيفري
مليونين و500 ألف حساب بريدي جاري مجمد مهدد بالغلق كشفت المديرية العامة لبريد الجزائر أنه تم إحصاء مليونيين و500 ألف حساب جاري "مجمد" وغير مستعمل من قبل أصحابه … 08 فيفري
عقوبة مع وقف التنفيذ لإبنة إطار دولة سرقت مواد تجميل قضت محكمة بئر مراد رايس، أمس، بإدانة ا بنة إطار دولة ومتحصلة على ديبلوم في التجارة الدولية وشهادة تقني … 08 فيفري
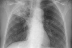
الفقر هو سبب إنتشار مرض السل ويصيب الأطفال لعدم تلقيحهم بلقاح" BCG" أثناء الولادة أرجع البروفيسور نافتي سليم، رئيس مصلحة الأمراض الصدرية والسل بالمستشفى الجامعي مصطفى باشا "ليون بارنار"، أسباب انتشار … 08 فيفري
مجموعة من 4 إرهابيين تنجوا بأعجوبة من كمين علمت "النهار" من مصادر عليمة، أن مجموعة إرهابية تتكون من 5 أفراد مسلحين يرتدون لباسا أفغانيا ملثمة … 08 فيفري
القاعدة تستثمر في قصة مسؤول المخابرات الأمريكية لتبرير قتل الجزائريين ركب تنظيم "القاعدة ببلاد المغرب الإسلامي" موجة جديدة في التحريض على الإرهاب، وتبنى نغمة حديثة في الترويج لمزاعمه … 08 فيفري
مدير صحيفة يورط مسؤولين بأمن ولاية وهران ويفر إلى الخارج أجلت، أمس، هيئة محكمة الجنح بأرزيو بوهران، النظر في قضية من العيار الثقيل، كون المتابعين فيها هم ضباط سابقون في… 08 فيفري
تفكيك قنبلة بتيزي وزو تمكنت عناصر الجيش الوطني الشعبي، أول أمس، من تفكيك قنبلة بمنطقة عزازڤة، الواقعة على 40 كلم… 08 فيفري